[ベスト] 骨折 治り かけ 痛み 知恵袋 322769
圧迫骨折の後遺症 、整形外科でも8年間治らなかった痛みがたった数回の治療で改善。 という原因に直接アプローチしていくので、治りが早いだけでなく再発防止にもつながります。 行きたいところに誰にも迷惑をかけずいく事ができる右足踵骨骨折リハビリ痛み 触っても押しても痛みはなく体重をかけた時だけ痛むので心配になりご相談させていただきました。このまま痛くても体重をかけていけば痛みが治るのか心配です。 治りにくいじんましん(慢性じんましん)4 Likes, 4 Comments Noriji Yanase (@bokunontyan) on Instagram "もうすぐ両足骨折から半年。 まだまだ痛みとのつきあいが続くようですね。 1日動くと痛いのと疲れのダブルパンチ 歳はとりたくないもんです。 治りが遅い! #両足骨折#治りが遅い #としはとりたくない"
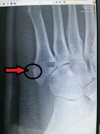
第五中足骨骨折 下駄骨折 基底部 をして 2か月経ちました 骨は綺麗 Yahoo 知恵袋
骨折 治り かけ 痛み 知恵袋
骨折 治り かけ 痛み 知恵袋- 1週間前に 左足のくるぶしを剥離骨折しました。 その時は 痛みもあり歩くことができなかったので シーネで固定され 松葉杖も貸してもらいました。 その際 痛みがひけば シーネの固定のまま 歩いても良いと言われました。と痛みが全身に走り、眠れない日々が続きました。 今思うと くっつとこうとしていた骨折した箇所が、離れたのでしょうね。 動きすぎた結果、治りが・・・ 骨折がわかった11月以降は、原因もわかり 動きすぎました。(苦笑) 特に



足首 アキレス腱 Sports Medicine Library ザムスト Zamst
ちょっと足首を挫く、いわゆる捻挫は誰でも経験あるかと思われます。 しかし、時には単なる捻挫で済まないこともあります。 痛みや腫れが強いので病院を受診したら「骨折しています」と言われてびっくりする事態にもなります。 この骨折はその昔、下駄をはいていて挫いたとき発生しやすかったため「下駄履き骨折、または下駄骨折」という名前がついてい骨折に対する代表的な治療は以下の3つです。 外科手術 薬の服用などの内科的治療 リハビリによる機能改善、痛みの緩和、姿勢の修正 以前は、ギプスが外れてからリハビリを開始するのが一般的でしたが、近年ではできるだけ早期よりリハビリを開始するようになりました。もう早く治りますように♡って祈ってる!今ここで」 骨折「めっちゃ嬉しいです!」 遥香「本当に頑張ってほしいね~。でも今年の夏はそっか試合は厳しいそうって言ってましたよね」 骨折「はい、厳しいって言われました」 遥香「そうだよね。
骨折した後、こわばった体をほぐすと回復が早くなります Tweet Pocket 骨折した場合、まず安静にすることが大切です。 骨折した衝撃で身体はこわばり、痛みがあれば身体のあちこちを硬くしてそれに耐えます。 骨折後マッサージを受けると聞くと、ギブスを外した後のリハビリのためかと思いますが、ギブス固定後1~2週間くらいから来ていただくと身体を緩める この骨折は、長いギプス固定など必要なく、 経過の良い骨折です。 早く骨折と気づいて、 骨折としての処置をしてあげることで、 治りも早くなります。 打撲と思っていていつまでも痛みや腫れが引かないときには、 まず、専門医に御相談ください。治りかけの痛みなのか mixiユーザー 13年01月27日 26 それとも新しい悪い症状なのか、杖ナシでは歩行困難になりました。 骨折してからもう半年たつのに、びっこも治らず足全体が痛いです。 →骨折したのは左足大腿部骨折。 なのに足首、ヒザ、土踏まず、全体的に痛いです。 明日整骨院にいきますが、これも骨折が治るための追加点なのでしょうか? イイ
検査・診断 まず、ぶつけたり捻ったりという明らかな外傷がないのに、なかなか改善しない慢性的な痛みや腫れがあるときは疲労骨折を疑います。 初期では、X線(レントゲン)検査では所見が認められないことが多く、まずMRI検査を行います。 局所の炎症や微細な損傷は超音波検査を行います。 発症後2週間以上経っているものではレントゲンでも変化が認め また、亀裂から完全骨折に至ると骨折部が転位を生じて歩行が困難になるほどの強い痛みが生じることも少なくありません。 それぞれの部位で生じる疲労骨折の症状は以下の通りです。 脛骨 跳躍型骨折が多く、一度骨折を生じると治りにくいのが特徴です。腰椎分離症 背骨 (以下、脊椎)の一部である腰椎(脊椎の下から5つの椎骨で構成される部分)の中で一番下にある第5腰椎に好発する、疲労骨折の一種です。 椎骨は、前方の円柱状部分を椎体、その後ろから出ているアーチ状の部分を椎弓といいます



疲労骨折とは何か 起こる原因と部位 予防法など 骨折の痛み 痛みwith



鼻 折れた 鼻骨骨折と術後の注意 日本医科大学武蔵小杉病院
骨折も治りません。 手首の骨折の痛みと腫れに必要な処置は? 1年2月23日から24日にかけて、ゴルフのタイガー・ウッズ選手が交通事故で脚を負傷し、手術中という報道が流れました。きりん鍼灸整骨院の骨折アプローチ法 骨折は適切な処置が遅れると、患部に後遺症が残ってしまうことがあります。 当院では地域の整形外科と連携を取り、骨折の早期処置と早期回復を促す施術を行っています。 まずは、当院で応急処置を行ったあと、病院で治療やレントゲン検査をしてもらいます。 そして、医師の同意を得たあとに当院で早期回復を促す骨折が治りました!ちなみに全治と完治の違いってご存じです 指骨骨折について メディカルノート;



Www Gakkohoken Jp Book Ebook Ebook H H Pdf



図解で納得 突き指の治し方って 毎日新聞



図解で納得 突き指の治し方って 毎日新聞



捻挫 ねんざ への対処法 千人を治療してきたプロが教える おかじま接骨院 奥沢 九品仏駅徒歩2分 自由が丘駅徒歩6分 各種保険対応



骨粗鬆症による脊椎圧迫骨折 一般社団法人 日本骨折治療学会 骨折の解説



骨折症例集 こみね鍼灸整骨院



手首の骨折 橈骨遠位端骨折 千葉市立青葉病院



上腕骨近位端骨折について こんな時は救急外来へ 症例別q A 社会医療法人 有隣会 東大阪病院 大阪市 城東区



突き指と骨折の見分け方 症状にどんな違いがある 治療法や期間は 病気スコープ



突き指を早く治す方法 整骨院えん 整体 整骨 骨盤矯正 はりきゅう 美顔鍼 諫早市



有痛性外脛骨 外脛骨障害 慢性痛治療の専門医による痛みと身体のq A



3dギプスで治す小型犬の前足骨折 いしじま動物病院 柏市 流山市



骨折が治ったのに腫れや痛みが引かない原因 堺なかもずの整体 医師の推薦状がある 中林整骨院



骨折について 大阪の動物病院 犬と猫の骨折 脱臼治療 岸上獣医科病院



子どもが手首を痛がる 捻挫 骨折 正しい処置と病院に行くべき目安 Kosodate Life 子育てライフ



骨折をしました 早く治すための方法が知りたいです 僕は Yahoo 知恵袋



Q Tbn And9gct1k7slgkfw2hrqcdhmptdw5ve8ziiordfp4ighuidamjultfjb Usqp Cau



登山を長く続けるためにできる 捻挫の予防と対処法 整形外科専門医 柴田俊一先生に聞く 前編 Yamaya ヤマケイオンライン 山と渓谷社



高齢者に多い4つの骨折と予防 ケアについて せいてつlab 社会医療法人 製鉄記念八幡病院



手首の骨折 橈骨遠位端骨折 千葉市立青葉病院



捻挫はクセになるってホント 先生の声



突き指と骨折の見分け方 症状にどんな違いがある 治療法や期間は 病気スコープ



捻挫はクセになるってホント 先生の声



骨折について 大阪の動物病院 犬と猫の骨折 脱臼治療 岸上獣医科病院



疲労骨折 日本整形外科学会 症状 病気をしらべる



疲労骨折とは 原因や予防方法について解説 Power Production Magazine パワープロダクションマガジン



足首の靭帯損傷を早く治すには 完治までの私の実体験レポート わんだふるらいふ 還暦夫婦と2匹のわんこで気ままなくるま旅



疲労骨折とは 原因や予防方法について解説 Power Production Magazine パワープロダクションマガジン



疾患の説明 医療法人社団広恵会 春山記念病院



シンスプリント 足治療チーム



Q Tbn And9gctgcqhpoedr6e7iulj0qr Vttxnqtnyuurevihafbjswb9s Uer Usqp Cau



骨折について 大阪の動物病院 犬と猫の骨折 脱臼治療 岸上獣医科病院



骨折について 大阪の動物病院 犬と猫の骨折 脱臼治療 岸上獣医科病院



疲労骨折とは 原因や予防方法について解説 Power Production Magazine パワープロダクションマガジン



突き指と骨折の見分け方 症状にどんな違いがある 治療法や期間は 病気スコープ



捻挫と肉離れ 捻挫と肉離れの違いは 応急処置方法は 受診は必要 株式会社プレシジョン



尻もちをついて転んでから背中や腰が激しく痛む 脊椎圧迫骨折 よくある症状 疾患 札幌スポーツクリニック 札幌市中央区の整形外科 内科 リハビリ科



突き指と骨折の見分け方 症状にどんな違いがある 治療法や期間は 病気スコープ



Http Www Nara Hp Jp Nara Hp Wp Content Uploads 18 04 Seikei10 Pdf



骨折10日間をふりかえって じゅんこのあしもと



足を骨折したけど痛くないまま治りそうな話 Raichotold Note



肋骨を打撲 この痛みは もしや骨折 対処法は 病院は何科 Medicalook メディカルック



大腿骨骨折 中山 威知郎 大腿骨骨折の治療方針は 患者さんの手術後の人生を考え もっともメリットのある選択をしていきたいと考えています



疲労骨折とは 症状 原因 治療など ドクターズ ファイル



足を骨折して思い知ったことビフォーアフター 社会 不便すぎ イーアイデムの地元メディア ジモコロ



足首 アキレス腱 Sports Medicine Library ザムスト Zamst



骨折の治療期間を4割ほど早める超音波骨折治療 アクセラス2 Dr Kakukoスポーツクリニック



骨折は 自然治癒しますか 手の骨が折れたら 自然治癒で Yahoo 知恵袋



足の外くるぶし周りが痛い 最も多い 内反捻挫 とは もみじはりきゅう整骨院 江東区門前仲町駅徒歩1分



手首の骨に小さいひびが入りました 一回治ったと思ってバスケ Yahoo 知恵袋



骨盤の骨折 25 外傷と中毒 Msdマニュアル家庭版



よくある質問 Sports Medicine Library ザムスト Zamst



Vol 105 疲労骨折 横浜スポーツ情報サイト ハマスポ



知っていれば慌てない 打撲と骨折の違いをチェック ライブドアニュース



交通事故で骨折したときの慰謝料はいくらもらえる 認定される後遺障害も解説 アトム法律事務所弁護士法人



骨折の痛み一覧 完全骨折 疲労骨折ほか 痛みwith



高齢者の骨折は手術できない 最悪の事態を防ぐためのポイントを紹介 暮らしのこれから



足を骨折して思い知ったことビフォーアフター 社会 不便すぎ イーアイデムの地元メディア ジモコロ



腓骨神経麻痺とは 腰から膝や足に掛けた痛みや痺れ 病気 怪我の治療方法 藤沢の整形外科は藤沢駅前 順リハビリ整形外科



疾患の説明 医療法人社団広恵会 春山記念病院



骨折10日間をふりかえって じゅんこのあしもと



切り傷 擦り傷など子どもの怪我の治り方 傷口は何日ぐらいで治る 病院の受診は必要 メディカルノート



肋骨を打撲 この痛みは もしや骨折 対処法は 病院は何科 Medicalook メディカルック



07 ヘルニアは 切らずに治る 腰椎椎間板ヘルニアの話 チーム脳外 脳神経外科医のブログ



第五中足骨骨折 下駄骨折 基底部 をして 2か月経ちました 骨は綺麗 Yahoo 知恵袋



図解で納得 突き指の治し方って 毎日新聞



骨腫瘍 間庭整形外科



専門家が解説 大腿骨頚部骨折の術後リハビリと注意点 Lifull介護 旧home S介護



足を骨折したけど痛くないまま治りそうな話 Raichotold Note



疲労骨折 日本整形外科学会 症状 病気をしらべる



サッカー少年 足の捻挫で3年続いた痛み 手術で元気に 朝日新聞デジタル



足首を捻ってしまった 特に小学生 足関節腓骨遠位骨端線離開 よくある症状 疾患 札幌スポーツクリニック 札幌市中央区の整形外科 内科 リハビリ科



寝たきり を防ぐ骨折の治療とリハビリ 高齢者の骨折3 介護の知恵袋 オアシスナビ



手首の骨折 橈骨遠位端骨折 千葉市立青葉病院



骨腫瘍 間庭整形外科



骨折とは 骨折ネット



Http Www Nara Hp Jp Nara Hp Wp Content Uploads 18 04 Seikei10 Pdf



シンスプリントの根本的な改善法7ステップ マラソン ランニング中のすねの痛み Runart ランナート足の治療院ブログ



第五中足骨を 骨折したんですがこれくらいだったらどのくらいで治りま Yahoo 知恵袋



犬の骨折 福岡の動物総合病院 ユニベッツ福岡



疲労骨折とは何か 起こる原因と部位 予防法など 骨折の痛み 痛みwith



脊椎圧迫骨折は手術するのか カズの知恵袋



疲労骨折とは何か 起こる原因と部位 予防法など 骨折の痛み 痛みwith



骨折について 大阪の動物病院 犬と猫の骨折 脱臼治療 岸上獣医科病院



骨折症例集 こみね鍼灸整骨院



指の骨にひびが入ったら どんな症状 完治までの期間は 放置するとどうなる Medicalook メディカルック



痛風発作 足の痛みで歩けない 痛みの期間が知りたい 相模原 内科 健康診断 病院 大場内科クリニック



第五中足骨基部骨折について 家の階段で足を挫いて 小指側を内側に向 Yahoo 知恵袋



骨折とは 骨折ネット



小指の手のひらを骨折して接骨院へ行ったところシップだけで治すこととなり Yahoo 知恵袋



3dギプスで治す小型犬の前足骨折 いしじま動物病院 柏市 流山市



Q Tbn And9gct1k7slgkfw2hrqcdhmptdw5ve8ziiordfp4ighuidamjultfjb Usqp Cau



突き指と骨折の見分け方 症状にどんな違いがある 治療法や期間は 病気スコープ



Q Tbn And9gcszrvir1e3avmlxy 3nrb0fzh11balni7ndljrdyqzjdooroyj2 Usqp Cau



鼻 折れた 鼻骨骨折と術後の注意 日本医科大学武蔵小杉病院



シンスプリントの根本的な改善法7ステップ マラソン ランニング中のすねの痛み Runart ランナート足の治療院ブログ



第五中足骨基部骨折について 家の階段で足を挫いて 小指側を内側に向 Yahoo 知恵袋



治りにくい骨折 偽関節 進む治療法 仮骨育成や自家骨移植 幹細胞使う再生も研究 Nikkei Style



骨折10日間をふりかえって じゅんこのあしもと



第五中足骨を骨折しました この怪我は酷い方でしょうか 何日で治るで Yahoo 知恵袋



Ascii Jp 指の骨が折れて大変だったこと トップ3



鼻 折れた 鼻骨骨折と術後の注意 日本医科大学武蔵小杉病院

コメント
コメントを投稿